Revue détaillée de Men's Defence : est-ce un produit frauduleux en France ?
Men's Defence Review : est-ce un produit frauduleux ? 🔍
Men's Defence est-il réellement efficace contre les problèmes de prostate, ou est-ce une simple arnaque comme beaucoup d'autres produits sur le marché ? 📋
Les problèmes de santé masculins, notamment ceux liés à la prostate, sont souvent sous-estimés jusqu'à ce qu'ils deviennent graves. Men's Defence est un produit qui promet de soulager les symptômes de la prostatite et d'autres affections similaires. Mais est-ce vraiment efficace ou s'agit-il d'une arnaque ? Cet article examine de près les revendications et les preuves pour vous donner une réponse claire. 📋
👉 Voir la source complète : Bilan et évaluation détaillée de la Défense masculine 2024 en France
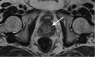
La Prostatite : Un Problème Répandu 📋
Les statistiques alarmantes 🔥
Savez-vous que, selon les statistiques publiées par l'OMS, un homme sur deux âgés de plus de 30 ans souffre d'une prostatite chronique ? Voici des chiffres réels, selon les données des experts : 85% des hommes âgés de plus de 20 ans souffrent d'une prostatite chronique. La prostatite est une maladie qui peut durer des années sans que la personne atteinte le sache, tout en détruisant son corps et en menaçant sa santé, sa puissance sexuelle et sa qualité de vie. 🔍
Attention ! La prostatite chronique est souvent latente 🔥
La prostatite chronique survient souvent sous une forme latente, sans symptômes prononcés. Cela la rend difficile à diagnostiquer et à traiter à temps. 📋
Importance de la Vie Sexuelle pour les Hommes Âgés 🔧
Relations sexuelles après 60 ans 💧
Les personnes de 60 à 70 ans se demandent souvent s'il est vraiment nécessaire d'avoir des relations sexuelles à cet âge. La réponse est un oui retentissant, surtout chez les hommes. La vie sexuelle est un facteur clé de l'état de santé général, agissant comme une sorte d'horloge biologique dont dépend la vitesse de vieillissement. 🔥
Dangers du manque de sexe 🛠️
Le manque de sexe est dangereux pour le corps, peu importe votre âge. La prostate est l'organe qui produit du liquide séminal. Sans éjaculation régulière, il commence à se détériorer, ce qui peut provoquer une accumulation de micro-organismes dangereux et entraîner une inflammation de la prostate, ou prostatite. 🔍
Conséquences de l'abstinence prolongée 🔥
Une abstinence prolongée peut être fatale. Les hommes sont conçus par la nature pour procréer. Lorsque cette fonction est réduite, le corps vieillit rapidement. Les vaisseaux sanguins s'amincissent et éclatent, augmentant le risque d'accident vasculaire cérébral ou de crise cardiaque. Les cheveux perdent leur pigmentation et deviennent gris. Des douleurs articulaires apparaissent et les patients ont du mal à se tenir droit. 📋
👉 Voir la source complète : Bilan et évaluation détaillée de la Défense masculine 2024 en France
Symptômes de la Prostatite 📋
Symptôme principal : trouble de la miction 🔍
La prostatite se manifeste principalement par des troubles de la miction. Ce symptôme prédominant est souvent accompagné de sensations de brûlure lors de la miction. Ce trouble se traduit par une difficulté à commencer à uriner, une diminution de la force du jet urinaire, et une sensation que la vessie n'est jamais complètement vide. Les patients peuvent ressentir des besoins fréquents et urgents d'uriner, surtout la nuit, ce qui perturbe leur sommeil et affecte leur qualité de vie. 🔧
Autres symptômes de la prostate 💧
Outre les troubles de la miction, la prostatite présente une gamme de symptômes variés qui peuvent considérablement altérer le bien-être général et la vie quotidienne des hommes affectés. Parmi ceux-ci, on trouve :
Sensation de vidange vésicale incomplète 📋
Les patients souffrent souvent de la sensation persistante que leur vessie n'est pas entièrement vidée après avoir uriné. Cela conduit à des mictions fréquentes et à une gêne continue.
Mictions douloureuses 🔍
Les mictions douloureuses sont un autre symptôme courant de la prostatite. Les hommes ressentent une douleur ou une gêne lors de l'acte d'uriner, ce qui peut rendre cette fonction naturelle particulièrement pénible.
Mictions nocturnes fréquentes 🔥
Les hommes atteints de prostatite sont souvent réveillés plusieurs fois par nuit par le besoin d'uriner. Cette nycturie interfère avec le sommeil, provoquant fatigue et irritabilité.
Gouttes d'urine après la miction 🛠️
Après avoir fini d'uriner, il n'est pas rare que des gouttes d'urine continuent de s'écouler, ce qui peut être embarrassant et inconfortable pour le patient.
Douleur à l'urètre et au bas du ventre 🔧
Les douleurs localisées à l'urètre et au bas du ventre sont fréquentes. Ces douleurs peuvent varier en intensité et être déclenchées ou aggravées par la miction ou d'autres activités quotidiennes.
Absence de désir sexuel 💧
La prostatite peut également affecter la libido. Les patients rapportent souvent une diminution significative du désir sexuel, ce qui peut affecter leur relation avec leur partenaire.
Érection faible et peu stable 🔍
L'inflammation de la prostate peut entraîner des problèmes d'érection. Les hommes peuvent éprouver des difficultés à maintenir une érection suffisante pour des rapports sexuels satisfaisants.
Douleurs pendant les rapports sexuels 🔧
Les rapports sexuels peuvent devenir douloureux, ce qui décourage l'activité sexuelle et affecte l'intimité du couple.
Éjaculation précoce 🔥
L'éjaculation précoce est un autre symptôme associé à la prostatite. Elle peut être frustrante et contribuer à une diminution de la satisfaction sexuelle.
Fièvre allant jusqu'à 39-40℃ 📋
Dans les cas plus graves, la prostatite peut provoquer une fièvre élevée, allant jusqu'à 39-40℃, indiquant une infection potentiellement sérieuse nécessitant une intervention médicale urgente.
👉 Voir la source complète : Bilan et évaluation détaillée de la Défense masculine 2024 en France
Existe-t-il une Solution au Problème de la Prostatite ? 🔍
La Solution : Men's Defence 📋
Men's Defence est un remède développé à partir de recettes anciennes des Aztèques, utilisant uniquement des ingrédients naturels tels que l'extrait de gingembre, l'aloe vera, la figue de Barbarie, les tiges d'asperge et le zinc. Des études cliniques récentes ont validé l'efficacité de ce remède, offrant une lueur d'espoir pour ceux qui souffrent de prostatite.
Avantages de Men's Defence 💧
Soulage les œdèmes et la douleur 🔧
Les ingrédients actifs de Men's Defence commencent à agir presque instantanément. Ils soulagent la douleur et l'inflammation au niveau cellulaire, éliminant les spasmes musculaires et les caillots sanguins. Cela permet de réduire rapidement les symptômes douloureux et de restaurer le confort du patient.
Stabilise la miction 🔍
Les composants de la formule de Men's Defence restaurent l'urètre, normalisant la vidange complète de la vessie sans les désagréments des mictions nocturnes, sans douleur ni inconfort. Les patients peuvent ainsi retrouver un rythme de vie plus normal et une meilleure qualité de sommeil.
Guérit la prostate 📋
Men's Defence aide les cellules et les organes affectés du système génito-urinaire à retrouver leurs fonctions naturelles. En restaurant la circulation sanguine normale dans la région du petit bassin, il contribue à la guérison de la prostate et au retour à une vie sexuelle normale. Les résultats sont durables, offrant aux patients une solution à long terme pour leurs problèmes de prostate.
Cette analyse détaillée met en lumière les divers symptômes de la prostatite et la manière dont Men's Defence peut aider à les soulager. En utilisant des ingrédients naturels et en s'appuyant sur des connaissances traditionnelles et modernes, ce remède offre une solution potentielle pour améliorer la qualité de vie des hommes souffrant de cette condition débilitante. 🔍
Conclusion Men's Defence 📋
Men's Defence semble être une solution prometteuse pour les hommes souffrant de problèmes de prostate et d'autres affections liées aux muscles et articulations. Grâce à ses ingrédients naturels et à son efficacité prouvée, ce produit pourrait bien être la réponse aux douleurs persistantes et à la restauration de la santé générale. Cependant, il est toujours conseillé de consulter un professionnel de la santé avant de commencer tout nouveau traitement. 🔍
📋 Combien coûte Men's Defence?
- Produit : Men's Defence – FR
- Pays : France
- Classification du produit : Articulations
- Recommandation : Fortement recommandé
- Prix d'origine : 98€
- Coupon de -50% à 49€ : Cliquez ici
- Page officielle de Men's Defence : Cliquez ici
👉 Voir la source complète : Bilan et évaluation détaillée de la Défense masculine 2024 en France
Ce guide complet sur Men's Defence a pour but de vous fournir toutes les informations nécessaires pour comprendre l'efficacité et les avantages de ce produit. En intégrant ce traitement naturel dans votre routine de santé, vous pouvez potentiellement améliorer votre qualité de vie et retrouver une pleine fonctionnalité de votre système génito-urinaire. 💧
.jpg)
.jpg)
.jpg)
.jpg)
.jpg)
.jpg)
Commentaires
Enregistrer un commentaire